Lea ist 6 Jahre alt und ein richtig fröhliches Mädchen, aber sie ist sehr krank. Sie wurde mit dem Femurhypoplasie-Gesichtsdysmorphie-Syndrom (FHUFS) geboren. Dies ist eine sehr seltene Krankheit, von der weltweit nur etwa 100 Menschen betroffen sind.
Wir haben von Steffi Quäl, Mutter von Lea, folgende Zeilen bekommen, in denen sie die aktuellen Entwicklungen genau beschreibt.
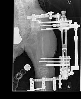
Am 1.10.2012 wurde der Fixateur bei Lea entfernt.
Steffi Quäl schreibt uns:
(...) zu der ganzen Verlängerungsgeschichte:
Die Anfangszeit der Verlängerung verlief einwandfrei. Wir konnten ohne Drehpause 3 1/2 Monate lang verlängern. Insgesamt schafften wir 8,3 / 8,4 cm Verlängerung. Das linke Bein war im Januar ein kleines Stückchen länger als das rechte Bein. Doch dann begann das Drama. Lea bekam eine eitrige Entzündung der Beckenpins nach der anderen. Der Knochen begann dünner zu werden. Die Beckenpins lockerten sich. Durch das lockern der Beckenpins, konnte sich der Oberschenkel ein kleines Stückchen ins Becken bohren. Im Juni kam dann die nächste OP. Leas 3 Beckenpins, die ständig eitrig entzündet waren und sich massiv gelockert hatten kamen raus und sie bekam etwas oberhalb am Becken zwei neue Pins eingesetzt. Danach ging es wieder bergauf. Der Knochen baute sich zwar nicht wieder auf, aber er baute sich auch nicht weiter ab. Der amerikanische Spezialist empfahl uns eine Zometa Therapie, sowie spezielle Vitaminpräperate aus Amerika zu nehmen.
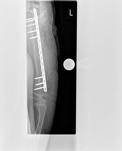
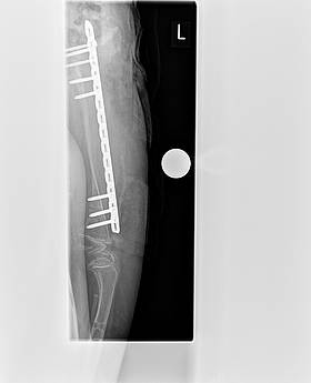
Unsere Ärzte trauten sich aufgrund der dünne des Knochens und der vorangegangenen Komplikationen nicht an die Entfernung des Fixateurs, so dass eine erneute Operation duch den Amerikaner notwendig wurde. Er hat den externen Fixateur am 01.10.2012 operativ entfernt und stabilisierte den Oberschenkel mit einer speziellen Lochplatte. Im oberen Oberschenkelbereich fixierte er diese mit 5 Schrauben, im unteren Oberschenkelbereich mit 3 Schrauben. Lea darf nun insgesamt 7 Wochen nicht belasten. Nur Liegen und Sitzen.
Am 18.11. kommen wir wieder nach Vogtareuth. Am 19.11. gibt es eine Röntgenkontrolle. Nach Freigabe durch den amerikanischen Spezialisten und unseren Ärzten hier, wird dann mit der Mobilisierung begonnen. Sobald sich der Knochen dann genug aufgebaut hat, wird die Lochplatte entfernt und der Knochen zunächst mit Drähten oder Nägeln stabilisiert. Diese werden dann auch irgendwann später wieder entfernt.
Wie geht es weiter mit Lea?
Lea stehen noch einige Operationen bevor. Zu den oben aufgeführten zählen folgende:
- künstliche Kreuzbänder für das rechte Knie
- eine Achskorrektur am linken Bein
- mindestens noch zwei weitere Fixateure zum weiteren Verlängern des linken Oberschenkels
- wenn Lea ausgewachsen ist folgt dann die sogenannte "Pelvis support" Operation
So ich hoffe das waren fürs erste genug Informationen :-)
(...)
Liebe Grüße
Steffi Quäl